CALENDER
PROFILE
HN:
トーマス
年齢:
45
HP:
性別:
男性
誕生日:
1980/12/08
趣味:
カメラいじり、すけぼーいじり、パソコンいじりまくり。。。。
自己紹介:
ただ、撮るのではなく、ライダーを、かっこよく撮るのを日々研究し滑れるfilmerを目指して人生全てを修行中。
個人的に気に入ったら、声をかけるので、だまって撮られてください。そして、ついに 1st MOVIE FILM (PAGE) 完成。のびにのびましたが、自分にとっても主役達にとってもいいのができたと思います。
個人的に気に入ったら、声をかけるので、だまって撮られてください。そして、ついに 1st MOVIE FILM (PAGE) 完成。のびにのびましたが、自分にとっても主役達にとってもいいのができたと思います。
ARCHIVE
LINK
2026.05.04 Mon 21:29:53
×
[PR]上記の広告は3ヶ月以上新規記事投稿のないブログに表示されています。新しい記事を書く事で広告が消えます。
2010.02.09 Tue 15:35:16
2010.01.26 Tue 22:39:08
病院へ行ったら、入院前の検査だけして終わってもうた。。。
入院&手術は、来週になりました。
あと、先生がレントゲンをよく見てみると。。。手首も折れてるね〜と言われました。。ヒビみたいのが1センチほど。。。。。
あっ!!これみてみてください。みてて、すげ〜ドキドキした〜。夢だね。
トーマスのスケーターとしてもだけど、ビジネスマンとしての凄さが伝わった☆
映画みて感動するぐらい、この、ちょこっとした動画をみて感動しました。
↓↓↓ ↓↓↓ ↓↓↓ ↓↓↓ ↓↓↓
SLAP MAGAZINE
入院&手術は、来週になりました。
あと、先生がレントゲンをよく見てみると。。。手首も折れてるね〜と言われました。。ヒビみたいのが1センチほど。。。。。
あっ!!これみてみてください。みてて、すげ〜ドキドキした〜。夢だね。
トーマスのスケーターとしてもだけど、ビジネスマンとしての凄さが伝わった☆
映画みて感動するぐらい、この、ちょこっとした動画をみて感動しました。
↓↓↓ ↓↓↓ ↓↓↓ ↓↓↓ ↓↓↓
SLAP MAGAZINE
2010.01.23 Sat 17:36:50
先日、地元のparkのフラットで、寒いからUPを しっかりやってたら、指から地面について指をグリッチョしてしまいました。。 グリッチョした時にポキッ??コキッ??とゆうような 音がしたんですが、指も動くので、大ジョブっしょと 思ってたんですが。。。どんどん腫れてきて。。 次の日の仕事は、左手、あまり使えなく。風邪もなおってないので、早退して病院へ
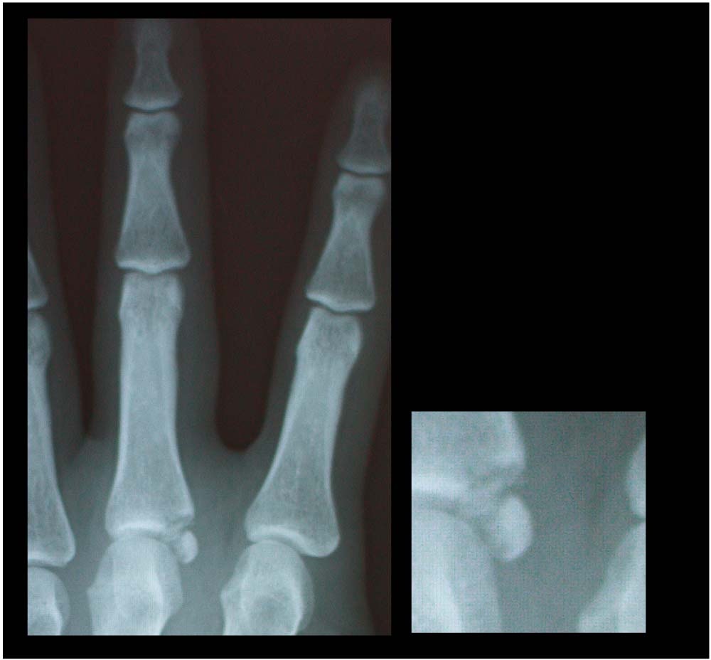
見事とは、いいづらいような微妙な。。わかりづらいので拡大!!
他の指と比べると何やら、丸い石ころのような物が。
これが 原因の骨が欠けたみたいな。。
なんちゃら骨折って言ってました。
これ、ほっといても 治るらしいんですが、この石ころみたいなのが肉の中で回転してる らしく
ほっといて、うまくつくかわからなく後遺症みたいになる可能性もあるかもと。。。言われたので来週から手術&入院してきます。。。
想像するだけで吐き気が。。。やだな。。。 気持ちわりい。。。 その後セキがやたらとまらないので、違う病院へハシゴしてきました。。。
だいぶ昔しに鬼グリッチョした時の写真。。。
靭帯伸ばしてこの先2ヶ月ギプスするハメになる前の状態。。
みんな気おつけましょう!!
それと今AMERICAのSDにいる池田こ〜たから連絡がきて、去年、日本に来てくれたWILLY SANTOSのHOMEPAGEにBACKYARD CAFEの映像がUPされてるみたいなので チェキラッチョしました。 willy santosありがとう→http://willysantos.com/wp/?p=7209
これが 原因の骨が欠けたみたいな。。
なんちゃら骨折って言ってました。
これ、ほっといても 治るらしいんですが、この石ころみたいなのが肉の中で回転してる らしく
ほっといて、うまくつくかわからなく後遺症みたいになる可能性もあるかもと。。。言われたので来週から手術&入院してきます。。。
想像するだけで吐き気が。。。やだな。。。 気持ちわりい。。。 その後セキがやたらとまらないので、違う病院へハシゴしてきました。。。
だいぶ昔しに鬼グリッチョした時の写真。。。
靭帯伸ばしてこの先2ヶ月ギプスするハメになる前の状態。。
みんな気おつけましょう!!
それと今AMERICAのSDにいる池田こ〜たから連絡がきて、去年、日本に来てくれたWILLY SANTOSのHOMEPAGEにBACKYARD CAFEの映像がUPされてるみたいなので チェキラッチョしました。 willy santosありがとう→http://willysantos.com/wp/?p=7209