CALENDER
PROFILE
HN:
トーマス
年齢:
45
HP:
性別:
男性
誕生日:
1980/12/08
趣味:
カメラいじり、すけぼーいじり、パソコンいじりまくり。。。。
自己紹介:
ただ、撮るのではなく、ライダーを、かっこよく撮るのを日々研究し滑れるfilmerを目指して人生全てを修行中。
個人的に気に入ったら、声をかけるので、だまって撮られてください。そして、ついに 1st MOVIE FILM (PAGE) 完成。のびにのびましたが、自分にとっても主役達にとってもいいのができたと思います。
個人的に気に入ったら、声をかけるので、だまって撮られてください。そして、ついに 1st MOVIE FILM (PAGE) 完成。のびにのびましたが、自分にとっても主役達にとってもいいのができたと思います。
ARCHIVE
LINK
2026.02.07 Sat 14:39:10
×
[PR]上記の広告は3ヶ月以上新規記事投稿のないブログに表示されています。新しい記事を書く事で広告が消えます。
2010.02.22 Mon 18:37:03
2010.02.14 Sun 04:10:23
2010.02.09 Tue 21:00:36
いや〜。PAGE(DVD)を作って予想以上に売れなかったから、
正直、作った意味あったのかな〜ってちょっと思ってたりもしてたんですが
この記事を見た時、かなりあがりました!!!!
今ASRに行ってる豪君のBLOGから。
→vision blog
→vision blog#2
あのjamie thomasに豪君がDVDを渡してくれたみたいです。
あのjamieですよ。あの!! 14の時にskateboard初めて
invisibleのvideoや411のprofileにでてたころからthomasが好きになり
好きすぎて、あだ名がthomasになってしまうほど。
感無量です。
完成試写会できた事も販売できた事もうれしい事ですが、(バカ売れ)ってのは、なかったですが。。。
自分にとってSKATE界の神の手にDVDがいった事。ものすごい名誉な事です。

今回、またguamに行って、出演者、関係者にくばって、観てくれた感想を生で
きいたりして、本当うれしっかった。
GUAMでもいい繋がりができました。GUAMの記事は、また後日!
あとケータイをGUAMに忘れてきてしまったので、今は一時停止状態です。
なにか御用なかたは、mixiかhotmailに連絡くださ〜い。
正直、作った意味あったのかな〜ってちょっと思ってたりもしてたんですが
この記事を見た時、かなりあがりました!!!!
今ASRに行ってる豪君のBLOGから。
→vision blog
→vision blog#2
あのjamie thomasに豪君がDVDを渡してくれたみたいです。
あのjamieですよ。あの!! 14の時にskateboard初めて
invisibleのvideoや411のprofileにでてたころからthomasが好きになり
好きすぎて、あだ名がthomasになってしまうほど。
感無量です。
完成試写会できた事も販売できた事もうれしい事ですが、(バカ売れ)ってのは、なかったですが。。。
自分にとってSKATE界の神の手にDVDがいった事。ものすごい名誉な事です。
今回、またguamに行って、出演者、関係者にくばって、観てくれた感想を生で
きいたりして、本当うれしっかった。
GUAMでもいい繋がりができました。GUAMの記事は、また後日!
あとケータイをGUAMに忘れてきてしまったので、今は一時停止状態です。
なにか御用なかたは、mixiかhotmailに連絡くださ〜い。
2010.02.09 Tue 15:35:16
2010.01.26 Tue 22:39:08
病院へ行ったら、入院前の検査だけして終わってもうた。。。
入院&手術は、来週になりました。
あと、先生がレントゲンをよく見てみると。。。手首も折れてるね〜と言われました。。ヒビみたいのが1センチほど。。。。。
あっ!!これみてみてください。みてて、すげ〜ドキドキした〜。夢だね。
トーマスのスケーターとしてもだけど、ビジネスマンとしての凄さが伝わった☆
映画みて感動するぐらい、この、ちょこっとした動画をみて感動しました。
↓↓↓ ↓↓↓ ↓↓↓ ↓↓↓ ↓↓↓
SLAP MAGAZINE
入院&手術は、来週になりました。
あと、先生がレントゲンをよく見てみると。。。手首も折れてるね〜と言われました。。ヒビみたいのが1センチほど。。。。。
あっ!!これみてみてください。みてて、すげ〜ドキドキした〜。夢だね。
トーマスのスケーターとしてもだけど、ビジネスマンとしての凄さが伝わった☆
映画みて感動するぐらい、この、ちょこっとした動画をみて感動しました。
↓↓↓ ↓↓↓ ↓↓↓ ↓↓↓ ↓↓↓
SLAP MAGAZINE
2010.01.23 Sat 17:36:50
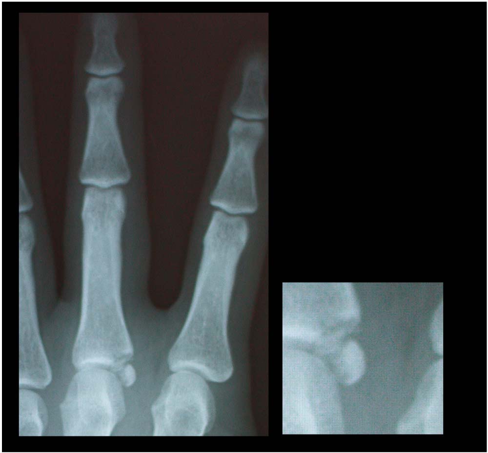
先日、地元のparkのフラットで、寒いからUPを しっかりやってたら、指から地面について指をグリッチョしてしまいました。。 グリッチョした時にポキッ??コキッ??とゆうような 音がしたんですが、指も動くので、大ジョブっしょと 思ってたんですが。。。どんどん腫れてきて。。 次の日の仕事は、左手、あまり使えなく。風邪もなおってないので、早退して病院へ
見事とは、いいづらいような微妙な。。わかりづらいので拡大!!
他の指と比べると何やら、丸い石ころのような物が。
これが 原因の骨が欠けたみたいな。。
なんちゃら骨折って言ってました。
これ、ほっといても 治るらしいんですが、この石ころみたいなのが肉の中で回転してる らしく
ほっといて、うまくつくかわからなく後遺症みたいになる可能性もあるかもと。。。言われたので来週から手術&入院してきます。。。
想像するだけで吐き気が。。。やだな。。。 気持ちわりい。。。 その後セキがやたらとまらないので、違う病院へハシゴしてきました。。。
だいぶ昔しに鬼グリッチョした時の写真。。。
靭帯伸ばしてこの先2ヶ月ギプスするハメになる前の状態。。
みんな気おつけましょう!!
それと今AMERICAのSDにいる池田こ〜たから連絡がきて、去年、日本に来てくれたWILLY SANTOSのHOMEPAGEにBACKYARD CAFEの映像がUPされてるみたいなので チェキラッチョしました。 willy santosありがとう→http://willysantos.com/wp/?p=7209
これが 原因の骨が欠けたみたいな。。
なんちゃら骨折って言ってました。
これ、ほっといても 治るらしいんですが、この石ころみたいなのが肉の中で回転してる らしく
ほっといて、うまくつくかわからなく後遺症みたいになる可能性もあるかもと。。。言われたので来週から手術&入院してきます。。。
想像するだけで吐き気が。。。やだな。。。 気持ちわりい。。。 その後セキがやたらとまらないので、違う病院へハシゴしてきました。。。
だいぶ昔しに鬼グリッチョした時の写真。。。
靭帯伸ばしてこの先2ヶ月ギプスするハメになる前の状態。。
みんな気おつけましょう!!
それと今AMERICAのSDにいる池田こ〜たから連絡がきて、去年、日本に来てくれたWILLY SANTOSのHOMEPAGEにBACKYARD CAFEの映像がUPされてるみたいなので チェキラッチョしました。 willy santosありがとう→http://willysantos.com/wp/?p=7209
2010.01.15 Fri 00:17:29
3連休、初日は、朝早く起きて車を洗おうと思ったのに
夕方の5時に起きてしまい 1日を無駄にしてしまいました。。。
先週も朝早起きして洗車しようと思ったのに
午後の3時におきちゃった。。。
二日目は、みんなで立川のparkへ
なんか、やる気でない&何もできない。。。
ので、適当にVIDEO撮ってました。
↓↓↓ ↓↓↓ ↓↓↓ ↓↓↓ ↓↓↓ ↓↓↓ ↓↓↓
三日目は、某skate雑誌の撮影で宏二とカメラマンのイセキさんで、
ハンドレールspotへ寒かった〜。。。宏二は、ホントすげ〜な。。。
tailblunt fake 4発で決めて、次の技に挑戦!!
ホント真似できたら真似したいくらいのスキルの持ち主!!
撮影終わった後、また映画見に行きました〜。怪獣よりもコッチっしょ
↓↓↓
500日のサマーって映画です。
残念ながら、そこまで、おもしろくなかったけど。。。
その後、築地のすし三昧ってゆ〜24時間の寿司屋に行きました。
なんか注文する時にマグロ 一つ、二つ、って注文してて、握ってるヤツがヒラメかなんかを握り忘れてて、ヒラメまだですか?
って丁重にきいてやったのに貫数で言って、ギャクギレされて。
なんでキレられてんだ俺。と思い。。
だったら、最初に注意しろよって思ったけど、
まっ、いっか〜と思って食いましたよ〜。
(そして風邪をひきました。。。。。)
あとSLAVEのVIDEOも手に入れました〜。マニュアル以外なんでも来いの集団ですね。 最強!!
きったないオッサン達が攻めまくりVIDEO ヤバイです〜。
夕方の5時に起きてしまい 1日を無駄にしてしまいました。。。
先週も朝早起きして洗車しようと思ったのに
午後の3時におきちゃった。。。
二日目は、みんなで立川のparkへ
なんか、やる気でない&何もできない。。。
ので、適当にVIDEO撮ってました。
↓↓↓ ↓↓↓ ↓↓↓ ↓↓↓ ↓↓↓ ↓↓↓ ↓↓↓
三日目は、某skate雑誌の撮影で宏二とカメラマンのイセキさんで、
ハンドレールspotへ寒かった〜。。。宏二は、ホントすげ〜な。。。
tailblunt fake 4発で決めて、次の技に挑戦!!
ホント真似できたら真似したいくらいのスキルの持ち主!!
撮影終わった後、また映画見に行きました〜。怪獣よりもコッチっしょ
↓↓↓
500日のサマーって映画です。
残念ながら、そこまで、おもしろくなかったけど。。。
その後、築地のすし三昧ってゆ〜24時間の寿司屋に行きました。
なんか注文する時にマグロ 一つ、二つ、って注文してて、握ってるヤツがヒラメかなんかを握り忘れてて、ヒラメまだですか?
って丁重にきいてやったのに貫数で言って、ギャクギレされて。
なんでキレられてんだ俺。と思い。。
だったら、最初に注意しろよって思ったけど、
まっ、いっか〜と思って食いましたよ〜。
(そして風邪をひきました。。。。。)
あとSLAVEのVIDEOも手に入れました〜。マニュアル以外なんでも来いの集団ですね。 最強!!
きったないオッサン達が攻めまくりVIDEO ヤバイです〜。